
Cardiovascular – The Heart & Circulatory System
The Cardiovascular System is made of the heart and its supportive structures (i.e. the pericardium), and the circulatory system (afferent and efferent vessels). Thus, the goal of this system is to transport oxygenated blood to all tissues that require it (through arteries), and bring back deoxygenated blood to the heart (through veins).
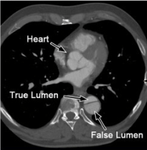
The heart is an incredibly intricate four-chambered structure that pumps blood to the lungs and through the body intrinsically; that is, it possesses automaticity. Deoxygenated blood travels from the superior and inferior vena cavas to the right atrium, to the right ventricle, to the lungs, to the left atrium, to the left ventricle, and finally the aorta, all mediated through the cardiac cycle. Importantly, the heart possesses valves and supporting structures that prevent the back flow of blood.
The circulatory system is responsible for bringing oxygenated blood directly to tissues, and facilitating the exchange of oxygen to enable the production of ATP. The hierarchy of vessels encompasses arteries, arterioles, capillaries, venules, and veins, with arteries and veins being the largest, and capillaries the smallest.
















